Le Docteur Smadja, dentiste à Cannes (06) vous présente les implants dentaires.

Un implant est une vis en titane de grade 5 biocompatible avec votre os. Cet implant dentaire posé dans notre cabinet dentaire à cannes croisette est fixé dans l'os comme la racine d'une dent naturelle. L'implant cannes permet de remplacer la dent manquante sans toucher aux autres dents.

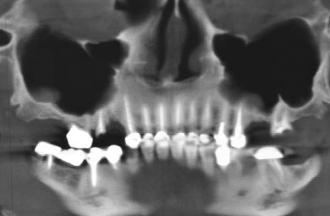
C'est pourquoi, le dentiste à Cannes adapte la longueur, le diamètre et la forme de l'implant au cas clinique grâce à un examen radiologique performant: 3D ou scanner.
Le protocole implantaire
Tout d'abord le praticien doit accéder à l'os, en dégageant la gencive. Pour cela il pratique une incision à l'aide d'un bistouri, puis il décolle la gencive pour bien voir son champ opératoire. Aujourd'hui des scanners 3D reproduisant sur ordinateur l'anatomie précise des maxillaires permettent une pose d'implants dentaire beaucoup moins invasive dans les cas courants (technique dite 'flapless').

L'implantologie est une percée essentielle qui a amélioré la vie de milliers de patients. En effet, c'est souvent la solution optimale car : - cela permet d'éviter de sacrifier inutilement des dents saines - c'est la seule possibilité d'éviter une prothèse amovible - le patient retrouve le confort des dents originelles et donc une qualité de vie incomparable - l'esthétique est optimale - cela évite la perte osseuse liée à l'extraction d'une dent.
En clair, un implant dentaire est la solution optimale s'il manque une ou plusieurs dents. Ainsi, presque tout le monde peut bénéficier d’une solution de remplacement pour ses dents, avec un aspect et des fonctions identiques à ceux d'une dent naturelle. Il est cependant important d'avoir un tissu osseux totalement développé auparavant pour permettre la stabilité de l'implant dentaire. Ce qui explique que les implants dentaires ne soient normalement pas installés sur personnes de moins de 18 ans.
L'implantologiste va, à l 'aide de forets de diamètre adapté, préparer la place dans l'os. L'implant réalisé au sein de notre cabinet dentaire à Cannes pénètre dans l'os en forçant légèrement. L'implant cannes est ainsi stabilisé. Après la pose de l'implant cannes va avoir lieu la phase d'ostéo-intégration. En effet l'implant, contrairement à la dent, est totalement fixe, c'est-à-dire ankylosé dans l'os. La mise en charge de l'implant est généralement différée pour permettre la phase d'ostéo-intégration (de plusieurs semaines à plusieurs mois). Par la suite, une couronne sera mise sur cet implant qui se comportera comme une racine artificielle.
La pose de ces implants dentaires est réalisé au cabinet du Dr SMADJA MIKAEL, dentiste à Cannes dans un cadre paisible et des normes d'asepsie optimales.




