Le Docteur Smadja, dentiste à Cannes (06) vous présente les prothèses dentaires et implants.
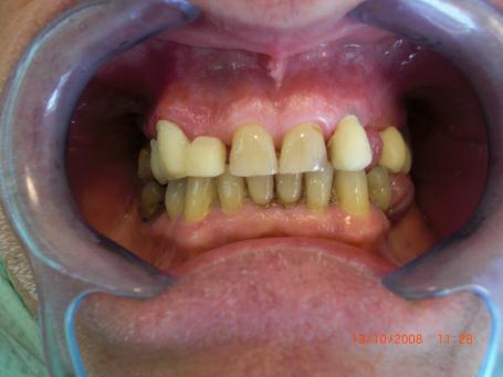
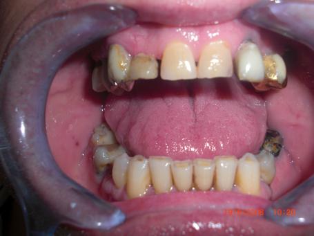
1°)Photo préopératoire initiale.
Homme de 62 ans qui se présente au cabinet dentaire avec une demande de réhabilitation prothétique globale esthétique. Il y a en bouche la présence de nombreuses prothèses iatrogènes inesthétiques. Un examen clinique initiale est réalisé ainsi que le plan de traitement prothétique.
2°)Dépose des bridges iatrogènes
On dépose les couronnes dentaires inesthétiques pour placer des provisoires de 1er génération. Le début des soins (dévitalisation,reprise de traitement endodontiques,pivots,inlays cores...)peuvent débuter.
3°)Pose des Inlays cores
Après la réalisation des soins dentaires, des dévitalisations dentaires et enregistrement de l'occlusion une empreinte est réalisée pour réaliser les pivots dentaires.
4°)Pose du provisoire résine cuite.
Sur les pivots dentaires vient se placer le provisoire de 2nd génération qui simulera le futur bridges en céramique esthétique. Durant cette période 2 implants dentaires sont placés en bas à droite pour permettre d'augmenter le coefficient masticatoire du patient.

5°)Etude scanner pré chirurgie implantaires.
Avant la pose d'implants dentaires une étude tomodensitométrique scanner est réalisée dans le but de déterminer le volume osseux ainsi que la densité osseuse. Cet examen préopératoire est indispensable pour localiser le nerf dentaire inférieur à l'origine de la motricité et sensibilité faciale. Ce nerf est à mettre en évidence pour ne pas le léser lors de la chirurgie implantaire.
6°)Pose du bridge céramique définitif.
On peut voir sur cette photo les couronnes dentaires sur les implants posés 2 mois auparavant. Ces 2 mois correspondent à un temps de cicatrisation osseuse pour que l'os réalise une soudure autour de l'implant dentaire.
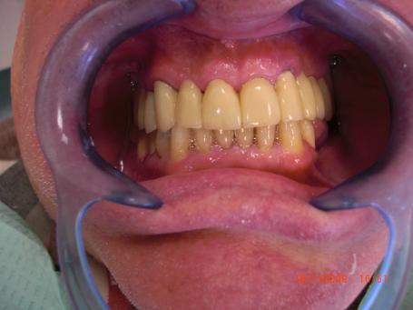
7°)Photo final birdge dentaire céramique
8°) Photo final
9°) Sourire naturel




