Le Docteur Smadja, dentiste à Cannes (06) vous présente la greffe osseuse et bridge dentaire.

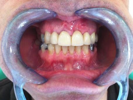
1°) Photo préopératoire
Patient atteint de parodontite agressive localisée au niveau de l'incisive centrale

2°) Extraction-comblement osseux
L'incisive centrale est extraite suivi d'une greffe osseuse dans le but de préserver le volume osseux ainsi qu'un profil gingival adéquat à la pose d'un bridge.

3°) Bridge résine cuite
Un provisoire en résine cuite est posée le jour de la chirurgie dans le but de préformé le profil gingivale mais surtout de préserver l'esthétique pour le patient

4°) Cicatrisation gingivale
Après cicatrisation gingivale le provisoire peut laisser place au bridge définitif.
5°) Bridge céramique zircone
Pose du bridge céramique en zircone. On note une réelle adaptation gingivale et un rendu très naturel.




