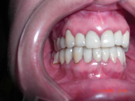
1°)Photo préopératoire
On note la présence de nombreuses restaurations iatrogènes à l'origine d'une réelle inflammation gingivale de type "gingivite"
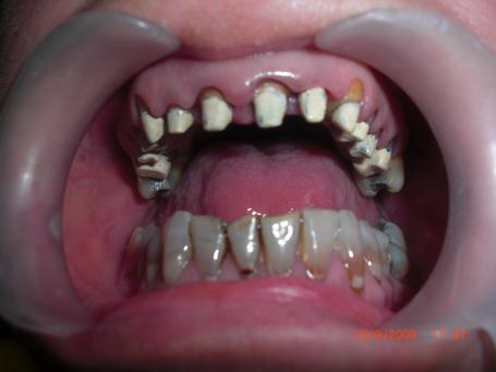
2°) Inlays Cores (Pivots) en céramique
On a réalisé des faux moignons en céramique pour permettre à la future couronne en zircone d'exprimer sa translucidité. Un seul ancrage radiculaire a été réalisé par dent.
3°) Bridge provisoire en résine
Ce provisoire a pour but de restaurer l'esthétique du sourire, les fonctions occlusales, la cicatrisation gingivale...
4°) Armatures en zircone
On réalise un essayage d'armature en céramique obtenir de la translucidité à l'origine d'un sourire naturel.
5°) Essayage couronnes céramique
On réalises des couronne unitaires permettant le passages du fil dentaire
6°) Pose des couronnes céramique
Les couronnes sont scellées définitivement. Des soins de parodontie ont été réalisé (détartrage,surfaçage) permettant une guérison parodontale.
Le choix de teinte a été réalisé avec la patiente.
7°) Photo finale




