Le Docteur Smadja, dentiste à Cannes (06) vous présente la couronne dentaire unitaire zircone.
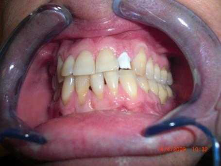
1°)Photo préopératoire.
On note la présence d'une couronne dentaire iatrogène en haut à droite. Cette couronne antérieure inesthétique laisse entrevoir le liseré métallique de l'armature métallique de cette couronne.
Cette infiltration est à la porte d'entrée aux bactéries qui sont à l'origine d'une éventuelle infection dentaire.
2°)Préparation du moignon dentaire.
La couronne iatrogène est déposée et le moignon est retaillé de sorte à placer les limites de la prochaine couronne dentaire sous gingivale.Une empreinte dentaire en 2 temps est réalisée.La dévitalisation dentaire étant satisfaisante, on décide de conserver le traitement de canal d'origine car il y a plus de risque de fracture sur cette dent très frêle.
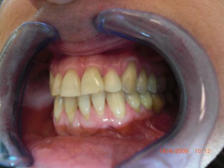
3°)Couronne provisoire en résine.
La couronne provisoire est placée pour maintenir la gencive à distance des limites de la future couronne et de préserver l'esthétique durant la fabrication de la couronne définitive. Cette couronne est scellée avec un ciment provisoire.
4°)Armature en zircone.
Une couronne en céramo-céramique est réalisée dans ce cas précis pour préserver l'esthétique du bloc antérieur. La réalisation de cette prothèse dentaire trouve toute sa complexité dans le choix de teinte de part son caractère unique.
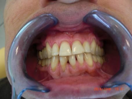
5°)Photo final.
La couronne en zircone est scellée avec un ciment définitif.Le choix de teinte ainsi que l'adaptation gingivale est respectée.




