Le Docteur Smadja, dentiste à Cannes (06) vous explique la réalisation de facettes céramique.

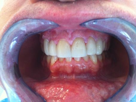
1°)Photo initiale.
Un patient se présente au cabinet dentaire à cannes croisette suite à une fracture de l’incisive centrale droite.
Un composite de substitution est réalisé en urgence pour restaurer l’esthétique.
Des doléances esthétiques sont mises en avant lors de cette consultation d’urgence .
Une canine de lait persiste à gauche tandis que la canine de droite présente une éruption incomplète et arrêtée.
Des facettes céramiques (céramiques pressées) sont réalisées dans le but de restaurer l’esthétique et un alignement idéal des dents.
Des préparations pelliculaires sont réalisés et des facettes provisoires sont laissés en place pendant 48h le temps de réaliser les facettes définitives.

2°) Photo préopératoire droite.

3°) Facettes céramiques posées sur le modèle en platre.

4°) Facettes vue palatine.
On note qu'une économie tissulaire est réalisée en palatin.
5°) Photo finale.
Pose des facettes céramique. Des aménagements occlusaux sont réalisés.l
6°) Facettes céramiques scéllées.
Ces facettes ont permis de restaurer le sourire avant tout....




